
新闻动态
联系我们
陕西依科生物技术服务有限公司首页 > 试验技术指导 > 甘肃油红O染色实验步骤及注意事项
陕西依科生物技术服务有限公司免费为您提供{甘肃骨组织脱钙},{甘肃组织固定},{甘肃冰冻切片}等一些相关信息的展示发布,请您关注本站!
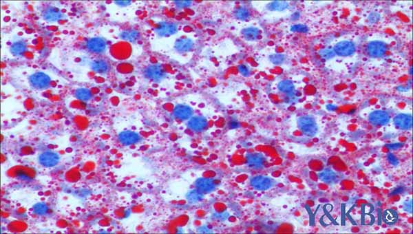
油红O脂肪染色法通常应用于检测组织或细胞内的脂肪情况,油性红O(Oil Red O)是一种脂溶性染料,是很强的脂溶剂和染脂剂,在脂肪内能高度溶解,其染色原理是油红O能特异性地与组织和细胞内的中性甘油三脂、脂质以及脂蛋白产生吸附作用从而使脂肪染色。染料在胞内脂质中的溶解度较溶液更大,当燃料加入组织切片时,燃料从有机溶剂转移而溶于组织内的脂质中,使组织内的脂肪呈红色。该染色方法用于分析细胞样品中脂质状况。
实验操作方法:
(1)甘肃冰冻切片厚度 6~10µm,不固定或 10%福尔马林固定 10min后水洗
(2)切片加入60%的异丙醇内浸洗 2min
(3)用蒸馏水稍微清洗一遍
(4)切片加入改良油红 O 染色液中,密闭染色 10~15min,该过程注意避光
(5)用蒸馏水清洗一遍
(6)加入 60%的异丙醇内稍洗以去除染液(大约几秒)
(7)加入冰蒸馏水中稍微清洗一遍
(8)Mayer 苏木素染色液复染核 5min
(9)用蒸馏水清洗一遍
(10)片子用滤纸吸干水分
(11)用甘油明胶封片。
注意事项:
1. 甘肃石蜡切片不能用于甘肃油红O染色,原因在于石蜡包埋过程中需要脱水,脱水过程中需要乙醇-二甲苯和石蜡,二甲苯是有机溶剂,会把中性脂肪溶解;
2. 冰冻切片准备时,包埋的降温过程建议选择干冰,原因在于若选择液氮降温过程较强烈,可能导致组织内部炸裂,而干冰降温的过程比较缓和,染出来的片子比较好看;
3. 切片的厚度要稍微厚一些,建议选择8-10μm;
4. 实验设计建议设计阴性对照和阳性对照,如阳性对照可以用脂质丰富的肝脏组织等,阴性对照可以根据文献来选择无脂肪沉积的组织。
实验结果展示

{陕西依科生物技术服务有限公司}口碑怎么样?{甘肃组织固定}哪里好?{甘肃冰冻切片}找哪家?陕西依科生物技术服务有限公司专业从事{生物科研试剂的研发、销售及相关技术服务}