
新闻动态
联系我们
陕西依科生物技术服务有限公司陕西依科生物技术服务有限公司免费为您提供{甘肃骨组织脱钙},{甘肃组织固定},{甘肃冰冻切片}等一些相关信息的展示发布,请您关注本站!

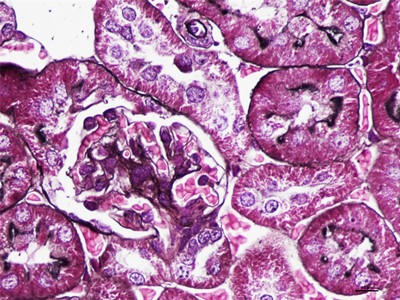
HE染色简称苏木精是是一种由碱性染液苏木精和酸性染液伊红构成的一种染色方法。是通显微镜下观察病理切片里病变的组织学形态变化来诊断疾病的,适用于胚胎学、病理学,生物医学,病理学教学与科研。HE染色对碱性染料和酸性染料亲和力都比较弱的现象称为中性。组织切片苏木素染色、分化与反蓝:将水化后的组织样本的切片使用PBS溶液浸泡清洗,每次浸泡5min,总共清洗3次。之后用移液枪吸取已经预先配置好的苏木素染色液,每个组织切片滴加100ul,充分染色10min。切片经HE染色后,要彻底脱水透明,才能用甘肃中性树胶封盖。he染色对于贴壁生长细胞,胰酶消化,调整细胞浓度约1×105/ml,滴加于盖玻片上(置于6孔板中),培养相应时间后,取出细胞爬片,用PBS 洗涤3次。着色情况与组织或细胞的种类有关。切片在苏木素染液中停留过长;或切片太厚;或分化时间太短。这种情况首先镜下看看切片厚度(最佳厚度1-2层细胞核),要么重新染色,要么重新制片。染色的最终结果是:细胞核呈蓝色、胞质、肌纤维、胶原纤维和红细胞呈深浅不一样的红色,病理技术服务提醒:在进行HE染色需要染色时间,脱水,染色时间不一样,需要等 ,明确HE评判标准。
{陕西依科生物技术服务有限公司}口碑怎么样?{甘肃组织固定}哪里好?{甘肃冰冻切片}找哪家?陕西依科生物技术服务有限公司专业从事{生物科研试剂的研发、销售及相关技术服务}