
新闻动态
联系我们
陕西依科生物技术服务有限公司陕西依科生物技术服务有限公司免费为您提供{甘肃骨组织脱钙},{甘肃组织固定},{甘肃冰冻切片}等一些相关信息的展示发布,请您关注本站!
甘肃甲苯胺蓝染色实验原理及步骤
实验原理 甲苯胺蓝是常用的人工合成染料的一种,属于醌亚胺染料类,这类染料一般含有两个发色团,一个是胺基,一个是醌型苯环,来构成色原显色,染料除有发色团外,还要有能使色原对组织及其他被染物产生亲和力的原子团即助色,助色团能促使染料产生电离成盐类,帮助发色团对组织产生染色力,使切片上的组织细胞着色,甲苯胺蓝不仅含有两个发色团,还含有两个助色团,为碱性染料,甲苯胺蓝中的阳离子有染色作用,组织细胞的酸性物质与其中的阳离子相结合而被染色。
甘肃甲苯胺蓝染色实验步骤
1.甘肃石蜡切片脱蜡至水:依次将切片放入二甲苯Ⅰ8min-二甲苯Ⅱ8min-无水乙醇Ⅰ 6min-无水乙醇Ⅱ6min-95%酒精 6min-85%酒精 6min-75%酒精 5min-流水冲洗;
2.滴加甲苯胺蓝染液15min;
3.蒸馏水水洗2次,5min/次;
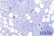
4.95%酒精分化,肥大细胞着深蓝紫色,背景呈浅蓝色或无色,镜下观察着色情况;
5.无水乙醇2min,二甲苯Ⅲ5min,二甲苯Ⅱ5min,二甲苯Ⅰ5min;
6.中性树脂封片。
三、染色结果判读:肥大细胞着深蓝紫色,细胞核呈淡蓝色,背景基本无色。

{陕西依科生物技术服务有限公司}口碑怎么样?{甘肃组织固定}哪里好?{甘肃冰冻切片}找哪家?陕西依科生物技术服务有限公司专业从事{生物科研试剂的研发、销售及相关技术服务}