
新闻动态
联系我们
陕西依科生物技术服务有限公司首页 > 实验问题解答 > 石蜡甘肃切片EVG染色方法
陕西依科生物技术服务有限公司免费为您提供{甘肃骨组织脱钙},{甘肃组织固定},{甘肃冰冻切片}等一些相关信息的展示发布,请您关注本站!
简介
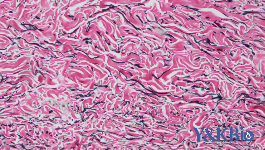
甘肃EVG染色方法(Elastica van Gieson染色)是一种常用的染色方法,用于显示黑色弹性纤维和红色胶原纤维。该方法在一些弹性组织萎缩的肺气肿病例、动脉粥样硬化中的弹性纤维变薄和缺失以及其他血管疾病的鉴别中具有重要应用价值。
通过EVG染色方法,弹性纤维会呈现出黑色,而胶原纤维则呈现出红色。这种染色方法可以帮助观察和评估组织中弹性纤维的形态、分布和数量,从而对相关疾病进行鉴别和诊断。
一、EVG染色的操作步骤
1、组织固定:将组织固定在甘肃4%多聚甲醛溶液、Bouin氏液或Zenker氏液中。固定时间根据组织类型和大小而定。固定后,将组织用流水冲洗过夜,以去除固定剂。然后进行常规脱水和包埋处理。
2、切片脱蜡至水:将蜡包埋的切片依次放入脱蜡剂中,直到完全去除蜡质。然后将切片放入水中。
3、Verhoeff's染色:使用配好的Verhoeff's染液,将切片在温室中染色1-3分钟,直到颜色呈深黑色。
4、分化:用自来水冲洗切片,以去除多余的染料。然后将切片放入2%三氯化铁溶液中进行分化,分化时间为10-20秒。在显微镜下观察,弹性纤维应呈黑色,背景呈灰色。
5、复染:再次用自来水洗切片,然后稍微用蒸馏水洗涤。接下来,将切片放入Van Gieson's液中复染10-15秒,然后用无水乙醇洗涤。
6、脱水和封固:将切片依次放入无水乙醇中进行脱水,然后用二甲苯透明化。最后,使用甘肃中性树胶进行封固。
二、注意事项:
1、长时间存放或不使用后,三氯化铁溶液可能会产生沉淀。因此,在使用之前,请将溶液充分混匀后再进行配制。这样可以确保溶液的均匀性和稳定性。
2、Verhoeff's染液和Van Gieson's染液这两种染液在使用前需要新鲜配制。新鲜配制的染液可以保证染色效果的准确性和可靠性。
3、在使用2%三氯化铁溶液进行分化时,建议在显微镜下进行观察和控制分化程度。这样可以确保对弹性纤维的分化达到理想的效果。

{陕西依科生物技术服务有限公司}口碑怎么样?{甘肃组织固定}哪里好?{甘肃冰冻切片}找哪家?陕西依科生物技术服务有限公司专业从事{生物科研试剂的研发、销售及相关技术服务}