
新闻动态
联系我们
陕西依科生物技术服务有限公司陕西依科生物技术服务有限公司免费为您提供{甘肃骨组织脱钙},{甘肃组织固定},{甘肃冰冻切片}等一些相关信息的展示发布,请您关注本站!
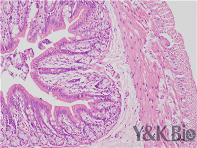
HE染色流程是什么,很多人都不知道,今天跟着小编一起来学习一下,切片的好坏直接影响疾病诊断的及时与准确性。因此一张高质量的HE染色切片,是实验室必须掌握的技术之一。HE染色目前在国内国外病理诊断上被
广泛采用,常规的染色方法。下面一起来看HE染色的基本顺序。一般切片的片子应在60-70度左右的烤箱中烘烤30分钟以才可以进行染色。总的来说是一个时间较长的过程。

1.样品制备
对于贴壁生长细胞,胰酶消化,调整细胞浓度约1×105/ml,滴加于盖玻片上(置于6孔板中),培养相应时间后,取出细胞爬片,用PBS 洗涤3次。2.样品固定 95%乙醇固定20min,PBS洗涤2次,每次1min。3.染核 苏木
素染液染色2-3min,自来水洗涤。4.分色 镜下观察,若细胞核染色过深,用1%盐酸酒精溶液分色数秒,自来水洗涤。 5.染胞质 浸入伊红染液染色1min,自来水洗涤。6.封片 吹干或自然晾干细胞爬片后,甘肃中性树胶封片。
以上六点就是HE染色的基本步骤,大家可以参考一下哦 。
{陕西依科生物技术服务有限公司}口碑怎么样?{甘肃组织固定}哪里好?{甘肃冰冻切片}找哪家?陕西依科生物技术服务有限公司专业从事{生物科研试剂的研发、销售及相关技术服务}